Ο περιγραφικός όρος «θηλώματα της ουροδόχου κύστης», χρησιμοποιείται για να αναφερθούμε πιο απλά στον ιατρικό όρο: «επιφανειακός καρκίνος ουροδόχου κύστεως από μεταβατικό επιθήλιο».

Τι είναι τα θηλώματα ουροδόχου κύστης;
Πρόκειται για μια μορφή καρκίνου η οποία προσβάλλει την ουροδόχο κύστη, δηλαδή το κοίλο όργανο που γίνεται η αποθήκευση των ούρων και το οποίο βρίσκεται στο κάτω μέρος της κοιλιάς. Ο καρκίνος της ουροδόχου κύστης έρχεται 9ος σε σειρά εμφάνισης στο ανθρώπινο σώμα και εμφανίζεται 4 φορές συχνότερα στους άνδρες σε σχέση με τις γυναίκες. Εκδηλώνεται με την μορφή θηλωμάτων τα οποία μοιάζουν με πολύποδες.
Θηλώματα κύστης: Ποια τα αίτια εμφάνισης;
- Κάπνισμα (οι χρόνιοι καπνιστές έχουν τριπλάσιο κίνδυνο να παρουσιάσουν καρκίνο της ουροδόχου κύστης)
- Εργασία στον χώρο της βιομηχανίας ( όσοι έρχονται σε επαφή με υλικά όπως ο σίδηρος, το αλουμίνιο , οι βαφές, το φυσικό αέριο, η πίσσα. )
- Πολυετείς λοιμώξεις της ουροδόχου κύστης ( χρόνια χρήση ουροκαθετήρα)
Ποια τα πιθανά συμπτώματα των θηλωμάτων κύστης;
Το συχνότερο σύμπτωμα των θηλωμάτων της ουροδόχου κύστης είναι η αιματουρία, δηλαδή η παρουσία αίματος κατά την διάρκεια της ούρησης. Υπάρχουν όμως και περιπτώσεις κατά τις οποίες το αίμα δεν φαίνεται με γυμνό μάτι και η αιματουρία γίνεται αντιληπτή από τον μικροβιολόγο κατά τις γενικές εξετάσεις.
Σπανιότερα οι ασθενείς μπορεί να νιώθουν πόνο κατά την ούρηση ή δυσκολία κατά την διάρκεια αυτής. Επιπλέον υπάρχουν και περιπτώσεις κατά τις οποίες παρουσιάζεται συχνή τάση για ούρηση ενώ η κύστη είναι άδεια.
Σ’ αυτό το σημείο θα πρέπει να τονισθεί ότι τα παραπάνω συμπτώματα μπορεί να παρουσιάζονται και σε άλλες παθήσεις του ουροποιητικού γι αυτό και ο ορθότερος τρόπος διάγνωσης, είναι η επίσκεψη σε έναν ουρολόγο.
Συνοπτικά η συμπτωματολογία του καρκίνου της ουροδόχου κύστης:
Συχνότερα:
- Αιματουρία
Σπανιότερα:
- Πόνος κατά την ούρηση
- Δυσκολία ούρησης
- Συνεχής τάση για ούρηση ενώ η ουροδόχος κύστη έχει αδειάσει

Πως γίνεται η διάγνωση των θηλωμάτων κύστης ;
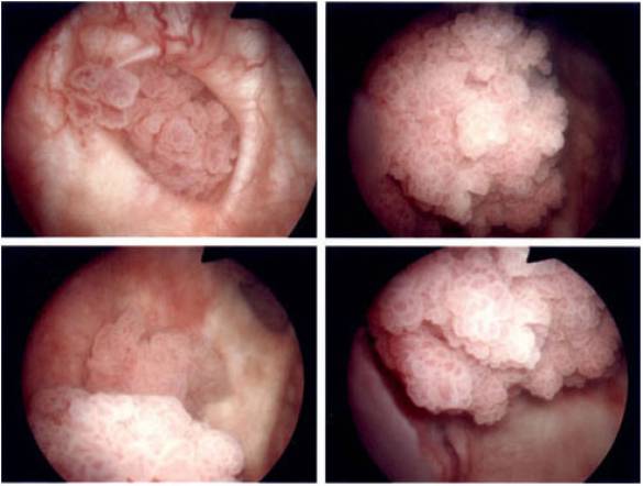
Η εξέλιξη στον τομέα του διαγνωστικού ελέγχου έχει αναδείξει σήμερα διάφορες μεθόδους διάγνωσης των θηλωμάτων καμία όμως δεν μπορεί να υποκαταστήσει την κυστεοσκόπηση, όπως επίσης και την βιοψία, η οποία είναι απαραίτητη για τον προσδιορισμό και την κατηγοριοποίηση του καρκινώματος.
Κυστεοσκόπηση
Η εξέταση αυτή πραγματοποιείται με την χρήση ενός ουρολογικού οργάνου το οποίο ονομάζεται κυστεοσκόπιο και διαθέτει στην άκρη του μια μικροσκοπική κάμερα. Το κυστεοσκόπιο διέρχεται από την ουρήθρα προς την ουροδόχο κύστη και προσφέρει λεπτομερή εικόνα για το στάδιο και το είδος του καρκίνου.
Θηλώματα κύστης: Ποια η κατάλληλη θεραπεία για αντιμετώπιση;
Η θεραπεία των θηλωμάτων της ουροδόχου κύστης πραγματοποιείται με την διαδικασία που ονομάζουμε διουρηθρική εκτομή των θηλωμάτων. Κατά την διάρκεια αυτής δεν πραγματοποιείται καμία τομή στο δέρμα. Η επέμβαση γίνεται διαμέσου της ουρήθρας και τα θηλώματα αφαιρούνται με καυτηριασμό. Στην συνέχεια αυτά στέλνονται για βιοψία, το αποτέλεσμα της οποίας θα ορίσει αν ο ασθενής χρειάζεται άλλου είδους θεραπεία.
Αναγκαιότητα παρακολούθησης της νόσου
Επειδή τα θηλώματα σε μεγάλο ποσοστό των ασθενών επανεμφανίζονται, είναι απαραίτητο μετά την επέμβαση ο ασθενής να παρακολουθείται με κυστεοσκοπήσεις. Κατά το πρώτο έτος κάθε τρεις μήνες τουλάχιστον και τα χρόνια που θα ακολουθήσουν, όσες φορές συμβουλεύσει ο ουρολόγος τον ασθενή.
Σε περίπτωση νέας εμφάνισης των θηλωμάτων, ο ασθενής πρέπει και πάλι να υποβληθεί σε διουρηθρική εκτομή κάθως αυτή είναι η μόνη λύση για τον περιορισμό της νόσου.
